Tooth-Colored Dental Fillings

Solution to beautiful smile

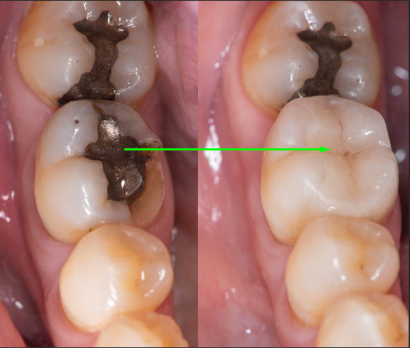
Tooth-colored dental fillings, also known as composite or white fillings, have revolutionized the world of dentistry by providing a seamless and aesthetically pleasing solution for repairing cavities and damaged teeth. Unlike traditional silver amalgam fillings, which are conspicuous due to their metallic appearance, tooth-colored fillings blend harmoniously with your natural teeth, making them virtually indistinguishable.

These composite fillings are composed of a mixture of fine glass particles and acrylic resin, meticulously color-matched to your tooth's shade. The result is a restoration that not only restores your tooth's strength and function but also enhances your smile's overall beauty.

The advantages of tooth-colored fillings go beyond aesthetics. They bond directly to the tooth, requiring less removal of healthy tooth structure than amalgam fillings. This means they are a conservative option that helps preserve the integrity of your teeth.

Additionally, tooth-colored fillings are free of mercury, which is a concern associated with amalgam fillings. They're also less sensitive to temperature changes, reducing the risk of tooth fracture. In conclusion, tooth-colored dental fillings offer a superior alternative for addressing dental decay and minor tooth damage. They provide both strength and aesthetics, allowing you to maintain a natural and radiant smile while safeguarding your oral health. If you're in need of a dental restoration, consult with your dentist to explore the benefits of tooth-colored fillings for your unique needs.

For more info orappointments call us at 416-922-6812.Conveniently located at YEG Dentistry at Yonge and Eglinton (Yonge Eglinton Centre - Suite 705 - 2300 Yonge Street, Toronto, ON M4P 1E4 with underground parking).

1